Les Formations IMCP
Guidé par le Dr Fabrice Baudot, pionnier de la microchirurgie parodontale et de l’implantologie biocompatible, l’Institut de Microchirurgie Parodontale (IMCP) s’engage à transmettre un savoir-faire fondé sur la rigueur scientifique, l’exigence clinique et l’humanité du geste médical.
Chaque formation conjugue précision microchirurgicale, respect biologique des tissus et innovation technologique, à travers des modules dédiés au laser ER-YAG, à la microchirurgie parodontale et à l’implantologie zircone.
Parce que la transmission ne se limite pas à la technique, l’IMCP défend une vision éthique, esthétique et responsable de la dentisterie : celle où la science sert la beauté, et la main du praticien devient un instrument d’excellence.
Laser Erbium - YAG
Une formation complète et progressive pour comprendre, paramétrer et maîtriser le laser ER-YAG, depuis les bases physiques jusqu’aux protocoles cliniques avancés en chirurgie, parodontologie et dentisterie conservatrice.
Implantologie Zircone
Une formation complète pour maîtriser pas à pas l’implantologie Zircone, de la planification chirurgicale aux protocoles de mise en charge, dans une approche biologique et minimalement invasive.
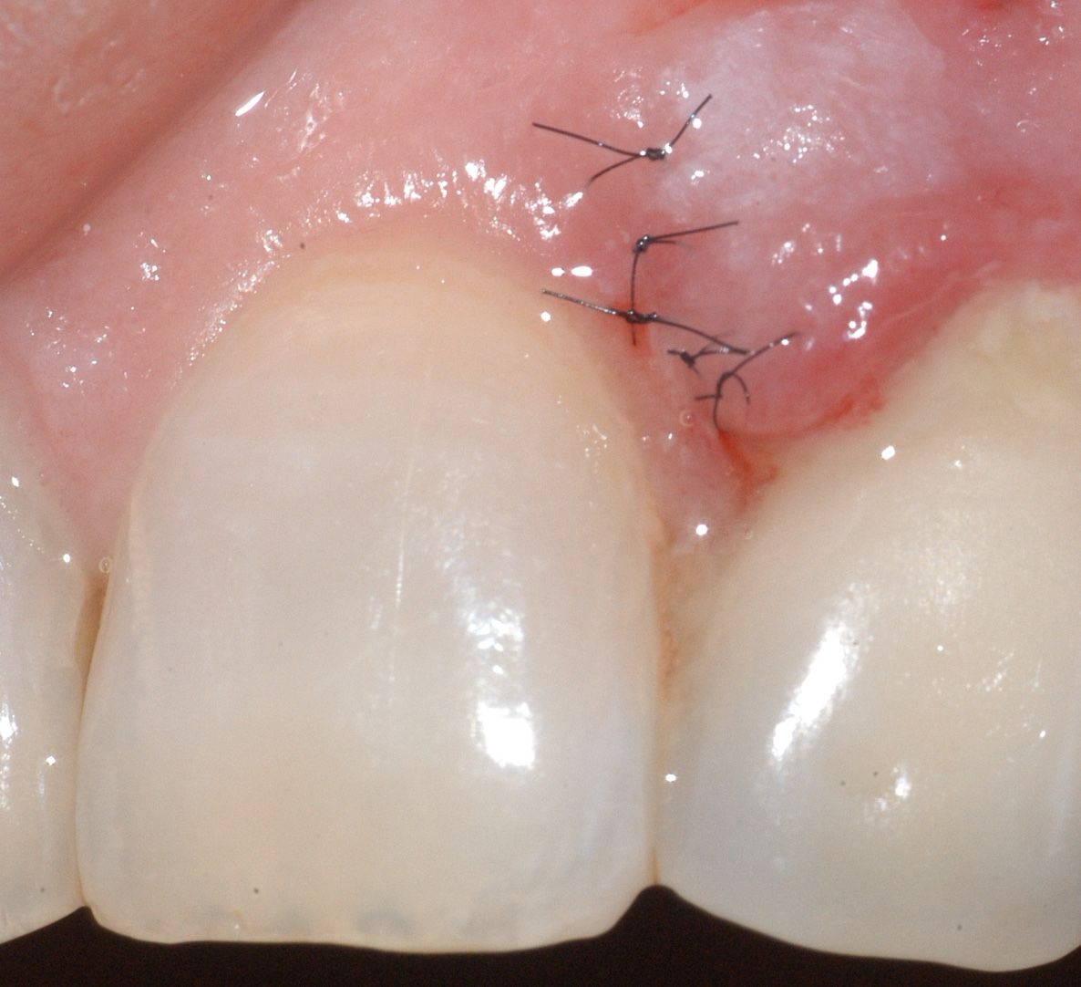
Microchirurgie
Une formation complète et progressive dédiée à la microchirurgie parodontale, pour acquérir la maîtrise du champ opératoire, du matériel spécifique et des techniques de suture fine favorisant la cicatrisation primaire et la stabilité gingivale.
Présentation
L’Institut de Microchirurgie Parodontale (IMCP) dispense trois formations d’excellence signées Dr Fabrice Baudot, autour de ses domaines d’expertise : la microchirurgie parodontale, le laser ER-YAG et l’implantologie en céramique.
Pensées pour s’adapter à chaque praticien, ces formations sont personnalisables selon vos besoins, votre niveau et vos objectifs, qu’il s’agisse d’une initiation ou d’un perfectionnement expert.
L’approche est progressive et structurée pas à pas, afin de garantir une montée en compétence fluide, concrète et mesurable.
Chaque participant peut bénéficier d’un diagnostic Zoom de 15 minutes gratuit avec le Dr Baudot ou un membre de l’équipe IMCP.
Cet échange permet de définir vos objectifs d’apprentissage, d’identifier le programme le plus adapté à votre profil clinique et d’établir un parcours de formation sur mesure.
Les formations sont proposées sous plusieurs formats :
- des webinaires interactifs avec chirurgies en direct, pour observer le geste et échanger en temps réel ;
- des sessions individuelles ou en petit groupe en cabinet à Saint-Gély-du-Fesc, pour une immersion complète dans la pratique quotidienne;
- des travaux pratiques à Aix-en-Provence, pour approfondir les protocoles sur modèles et perfectionner votre gestuelle.
L’IMCP met la pédagogie, la précision et la passion clinique au service de votre progression professionnelle.
Choisir ma formationFaut-il déjà maîtriser la microchirurgie ou le laser pour s’inscrire ?
Peut-on combiner plusieurs formations ?
Puis-je bénéficier d’un accompagnement après la formation ?
Call to Action
Avant chaque inscription, l’IMCP propose un diagnostic Zoom gratuit de 15 minutes afin d’orienter chaque praticien vers le programme le plus adapté à son niveau et à ses objectifs cliniques.
Cet échange individuel avec le Dr Fabrice Baudot ou un membre de son équipe permet d’identifier vos besoins, vos attentes et de définir ensemble un plan de formation sur mesure, aligné avec votre pratique quotidienne et votre rythme d’apprentissage.